Jonathan Murgraff

MSc (Endodontics) BDS LDS RCS

  • 28 Rundell Crescent, Hendon NW4 3BP
  • jmurgraff@aol.com
  • (020) 7486 3090
  • Home
  • About Me
  • My Practice
  • What Is Endodontics?
  • Testimonials
  • Cases
  • Publications
  • Ask A Question
  • Contact Us

Cases

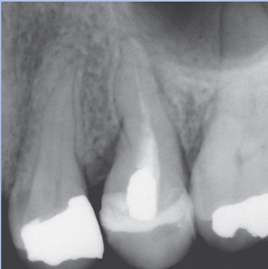
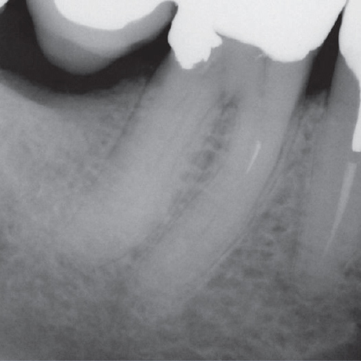
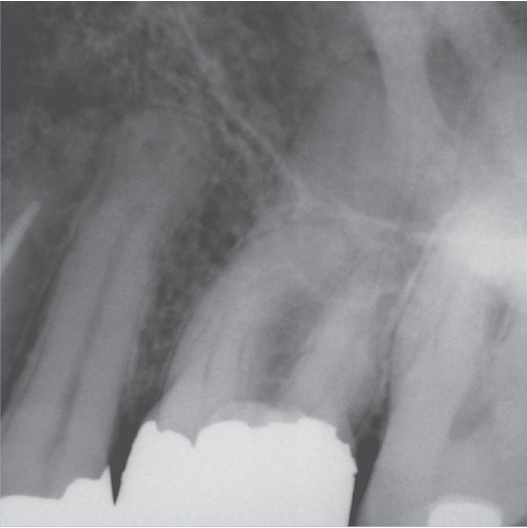
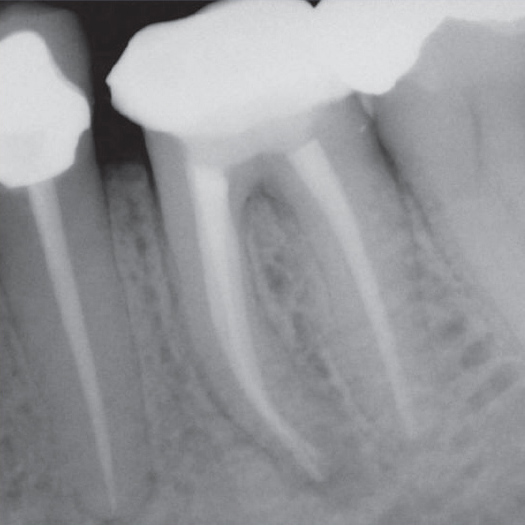
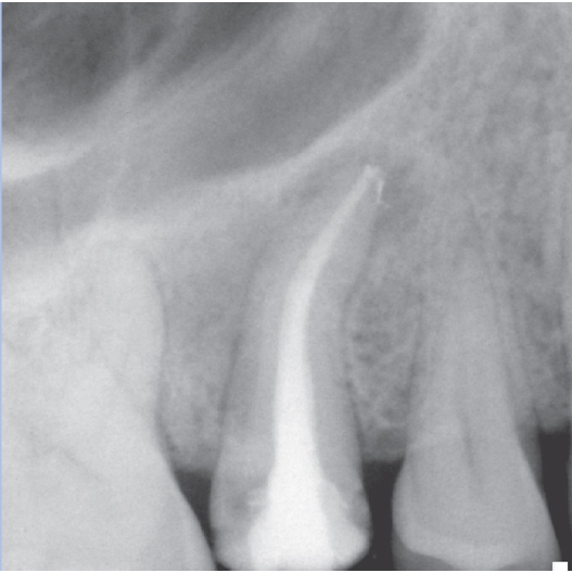
Before

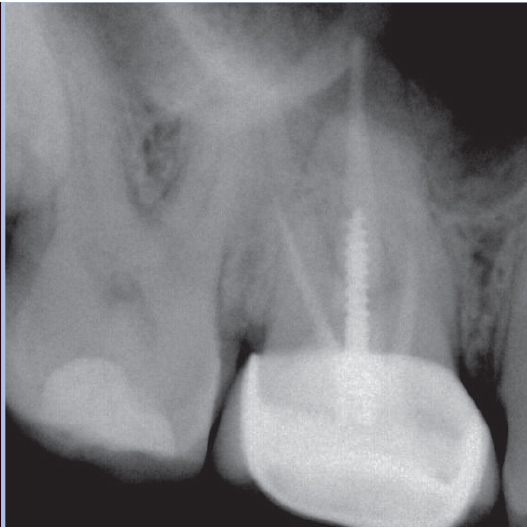
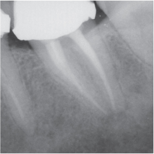
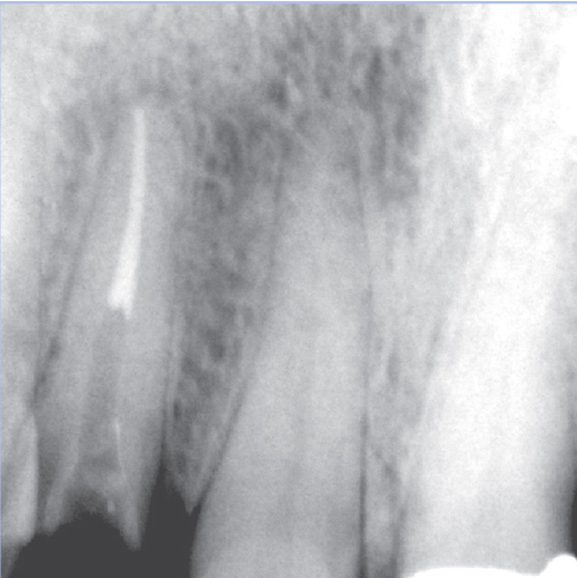
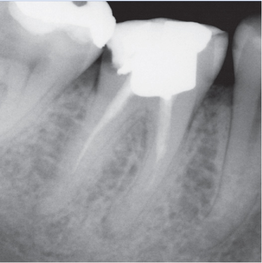
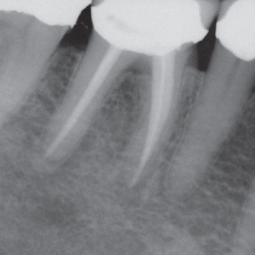
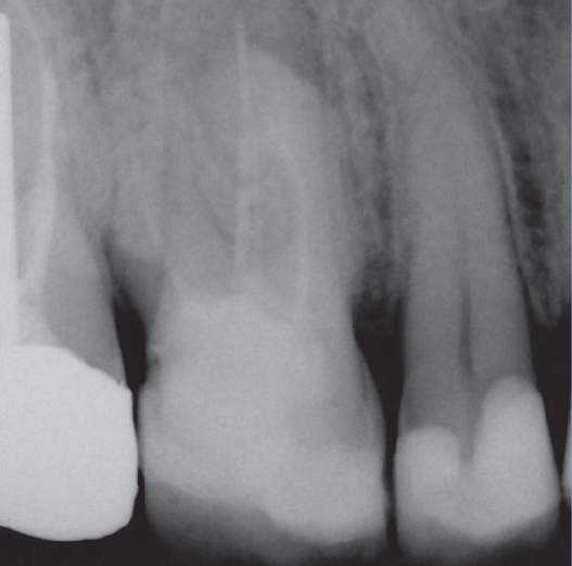
After

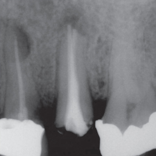
Before Root Canal treatment
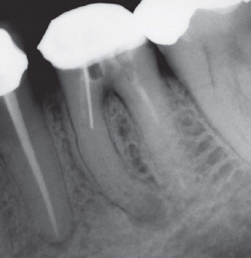
After Root Canal treatment

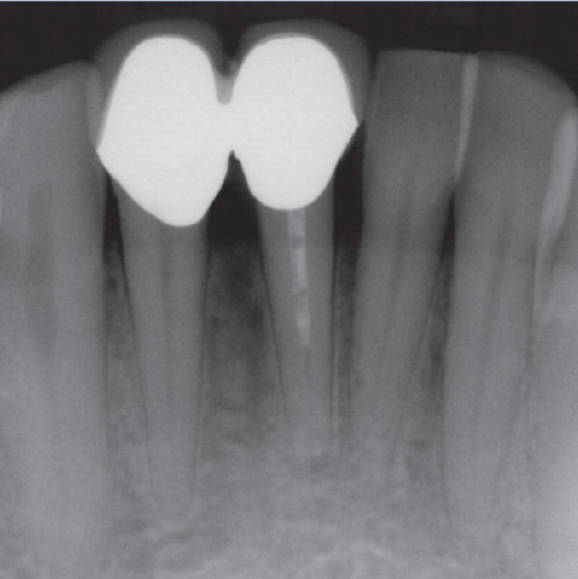
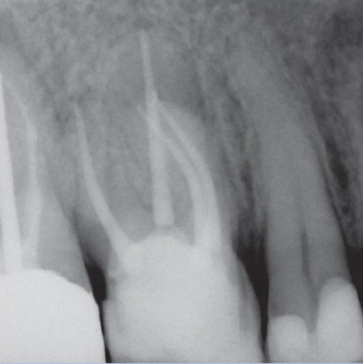
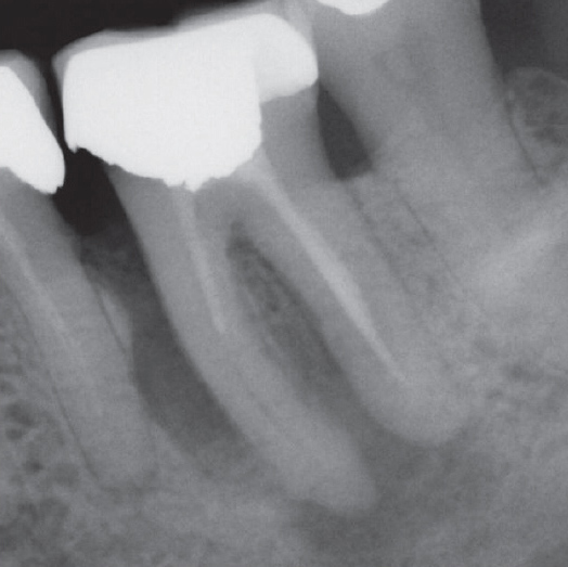
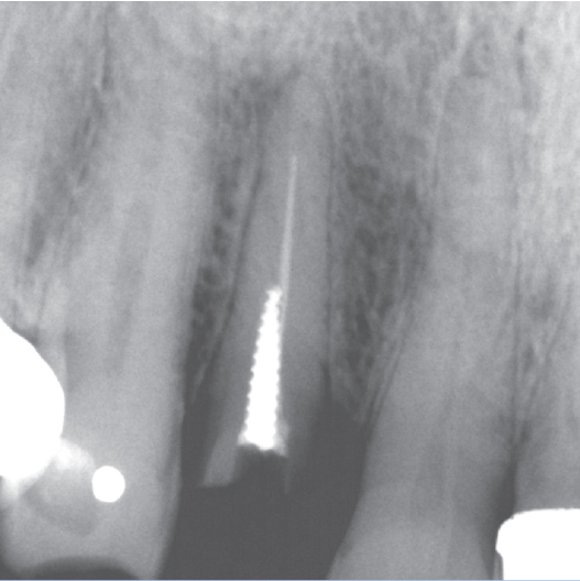
Before

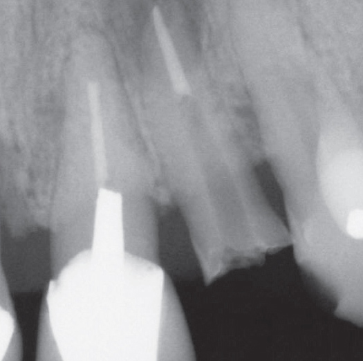
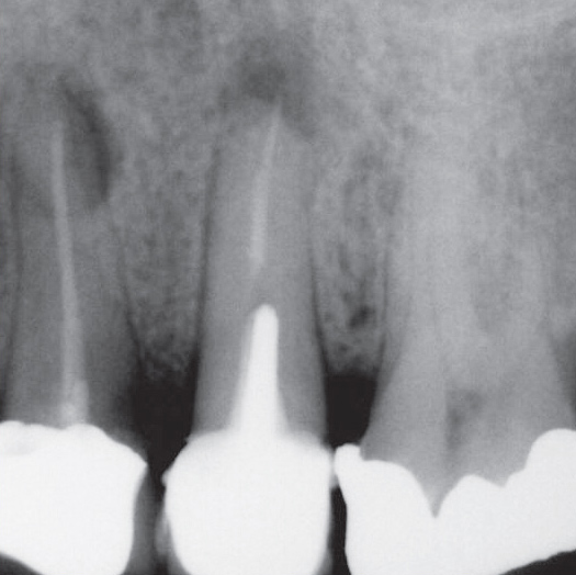
After

Before Root Canal treatment
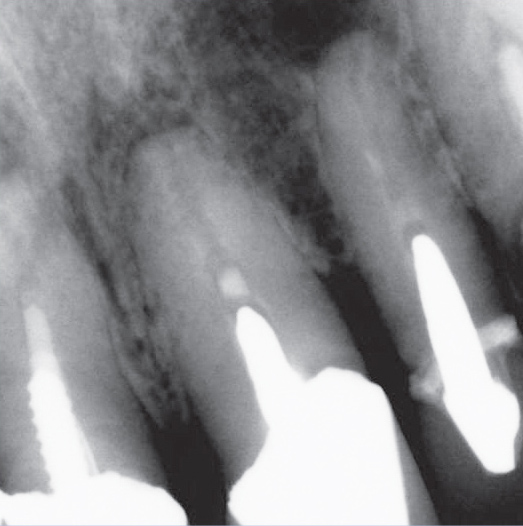
After Root Canal treatment

Before

After

Before Root Canal treatment
After Root Canal treatment

Before

After

Before Root Canal treatment
After Root Canal treatment

Before

After

Before Root Canal treatment
After Root Canal treatment

Before

After

Before Root Canal treatment
After Root Canal treatment

Before

After

Before Root Canal treatment
After Root Canal treatment

Before

After

Before Root Canal treatment
After Root Canal treatment

Before

After

Before Root Canal treatment
After Root Canal treatment

Before

After

Before Root Canal treatment
After Root Canal treatment

Before

After

Before Root Canal treatment
After Root Canal treatment

Before

After

Before Root Canal treatment
After Root Canal treatment

Before

After

Before Root Canal treatment
After Root Canal treatment

Before

After

Before Root Canal treatment
After Root Canal treatment

Before

After

Before Root Canal treatment
After Root Canal treatment

Before

After

Before Root Canal treatment
After Root Canal treatment

Before

After

Before Root Canal treatment
After Root Canal treatment

Before

After

Before Root Canal treatment
After Root Canal treatment

Before

After

Before Root Canal treatment
After Root Canal treatment

Before

After

Before Root Canal treatment
After Root Canal treatment

Before

After

Before Root Canal treatment
After Root Canal treatment

Before

After

Before Root Canal treatment
After Root Canal treatment

Before

After

Before Root Canal treatment
After Root Canal treatment

Before

After

Before Root Canal treatment
After Root Canal treatment

Before

After

Before Root Canal treatment
After Root Canal treatment

Before

After

Before Root Canal treatment
After Root Canal treatment

Before

After

Before Root Canal treatment
After Root Canal treatment

Before

After

Before Root Canal treatment
After Root Canal treatment

Before

After

Before Root Canal treatment
After Root Canal treatment

Before

After

Before Root Canal treatment
After Root Canal treatment

Before

After

Before Root Canal treatment
After Root Canal treatment

Before

After

Before Root Canal treatment
After Root Canal treatment

Before

After

Before Root Canal treatment
After Root Canal treatment

Before

After

Before Root Canal treatment
After Root Canal treatment

Before

After

Before Root Canal treatment
After Root Canal treatment

Before

After

Before Root Canal treatment
After Root Canal treatment

Before

After

Before Root Canal treatment
After Root Canal treatment

Before

After

Before Root Canal treatment
After Root Canal treatment

Before

After

Before Root Canal treatment
After Root Canal treatment

Before

After

Before Root Canal treatment
After Root Canal treatment

Before

After

Before Root Canal treatment
After Root Canal treatment

Before

After

Before Root Canal treatment
After Root Canal treatment

Before

After

Before Root Canal treatment
After Root Canal treatment

Before

After

Before Root Canal treatment
After Root Canal treatment

Before

After

Before Root Canal treatment
After Root Canal treatment

Before

After

Before Root Canal treatment
After Root Canal treatment

Before

After

Before Root Canal treatment
After Root Canal treatment

Before

After

Before Root Canal treatment
After Root Canal treatment

Before

After

Before Root Canal treatment
After Root Canal treatment

Before

After

Before Root Canal treatment
After Root Canal treatment

Before

After

Before Root Canal treatment
After Root Canal treatment

Before

After

Before Root Canal treatment
After Root Canal treatment

Before

After

Before Root Canal treatment
After Root Canal treatment

Jonathan Murgraff © 2018 | Website by JCreate Design