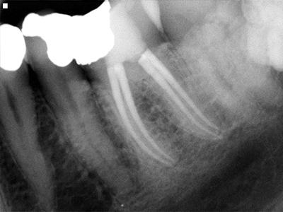
Endodontics, or Root Canal treatment is the removal of inflamed or infected dental nerve inside the root of a tooth.
Inflamed or Infected dental nerve can cause symptoms of pain, swelling of the jaw (abscess) or acute pain upon drinking hot and cold drinks and even pain when biting on the tooth.
Treatment usually involves an injection to numb the tooth and then the removal of the nerve, washing (disinfecting) out the canal space where the nerve was and then subsequently filling up the root space.